近日,生物工程学院顾玉超教授团队在International Journal of Biological Macromolecules(doi.org/10.1016/j.ijbiomac.2025.139537)期刊发表了题为“Anti-tumor activity of an αPD-L1-PE38 immunotoxin delivered by engineered Nissle 1917”的研究论文。该研究针对免疫检查点抑制剂和免疫毒素在治疗癌症时存在的局限性,提出了一种创新的解决方案。
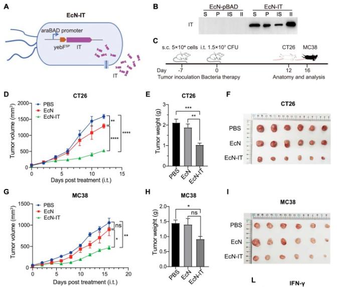
研究团队构建了一种PD-L1 靶向免疫毒素 αPD-L1-PE38,通过将抗 PD-L1 纳米抗体与临床验证的 PE38 毒素融合,使其在对肿瘤细胞展现出强大的抗肿瘤活性。为了将这种免疫毒素精准递送至肿瘤组织,顾玉超教授团队巧妙地利用了E. coliNissle 1917(EcN)靶向肿瘤组织的特性。团队通过基因工程改造EcN 菌株,通过静脉注射或瘤内注射,EcN 能够定植于实体瘤中并在肿瘤组织中释放αPD-L1-PE38 免疫毒素。实验结果显示,工程菌株在细胞和动物水平均展现出显著的抗肿瘤活性。此外,研究团队还对免疫毒素的亲和力进行了优化,优化后的免疫毒素进一步增强了对PD-L1 的结合能力和抗肿瘤活性。

图1 工程菌株的构建和抗肿瘤活性实验

图2 实验方案图示
这项研究不仅为提高免疫检查点抑制剂的治疗效果提供了新思路,还展示了利用合成生物学技术改造益生菌作为免疫毒素递送载体的巨大潜力。通过活细菌递送免疫毒素,有望在提升治疗效果的同时,降低对正常组织的毒副作用,为癌症患者带来更加安全、有效的治疗选择。